
全⾝に⾎液を循環させるために心臓が拡張と収縮を繰り返す際に、微弱な活動電流が発⽣します。
この電流を体に装着した電極でとらえ、波形として表したものが⼼電図です。電極は両手首と両足首に4ヶ所(肢誘導)、前胸部から左側胸部にかけて6ヶ所(胸部誘導)に装着し、痛みなどはなく非侵襲的な検査です。
所要時間も数分程度です。心電図は、不整脈・⼼筋梗塞・狭⼼症・⼼肥⼤の評価などに有用です。
不整脈や狭⼼症をさらに詳しく調べるために、ホルター⼼電図や運動負荷⼼電図検査を⾏うこともあります。

全⾝に⾎液を循環させるために心臓が拡張と収縮を繰り返す際に、微弱な活動電流が発⽣します。
この電流を体に装着した電極でとらえ、波形として表したものが⼼電図です。電極は両手首と両足首に4ヶ所(肢誘導)、前胸部から左側胸部にかけて6ヶ所(胸部誘導)に装着し、痛みなどはなく非侵襲的な検査です。
所要時間も数分程度です。心電図は、不整脈・⼼筋梗塞・狭⼼症・⼼肥⼤の評価などに有用です。
不整脈や狭⼼症をさらに詳しく調べるために、ホルター⼼電図や運動負荷⼼電図検査を⾏うこともあります。
ホルター⼼電図は⼩型軽量の心電図装置を症例に応じて、24時間・5日間・1週間⾝につけて、⽇常⽣活中の⻑時間の⼼電図を記録し解析する検査です。
不整脈は出たり出なかったりするため、受診時の⼼電図検査では⼗分な情報が得られなかった場合に⾏われます。
さらに、実⽣活の中で⻑時間の⼼電図を記録し続ける事で、症状と波形の関連を調べることができます。
安静時心電図
ホルター心電図

運動負荷⼼電図は、運動により⼼臓に負担をかけた際に、⼼電図にどのような変化が起こるかを調べるために⾏われます。
運動負荷により、⼼臓は通常より激しく、そして速く動くため、安静時では認められないような異常を明らかにすることができます。
歩⾏・トレッドミル(ベルトコンベア)・エルゴメーター(⾃転⾞)によって運動負荷をかけます。
負荷中は、⼼電図はもちろん、⾎圧や酸素化なども計測します。狭心症や不整脈が疑われる場合に、運動負荷試験が勧められます。
超音波検査は、専用のプローブを体に当てて超音波を発し、体内の画像を描出する検査です。
放射線被ばくの心配がなく、身体への負担も少ないため、安全に受けていただけます。特に「心臓超音波検査(心エコー図検査)」では、心臓の構造・動き・血流・圧力など、さまざまな情報をリアルタイムで観察することができます。検査内容や対象となる病気により異なりますが、所用時間は20分~60分程度です。
当院では最新の高性能装置を複数台導入しており、年間15,000件以上の心血管超音波検査を行っています。
胸の表面にプローブを当てて、心臓を観察する検査です。心臓は胸壁(肋骨や筋肉)の奥にあるため、その隙間から心臓を観察するためにプローブをしっかり充てる必要があり、やや圧迫感や痛みを感じることもあります。循環器診療において、最も基本かつ重要な検査です。
「胃カメラ」と同様の長い管状のプローブを用い、食道内から心臓を観察する検査です。心臓のすぐ後ろを通る食道から観察するため、より詳細で鮮明な画像を得ることができます。
主に心臓弁膜症の詳細な評価や心房内血栓の有無の確認のため行われます。当院では、検査による苦痛を軽減するため、静脈麻酔を使用して安全かつ安心して受けて頂けるよう配慮しています。
ただし、喉・食道・胃に疾患や手術歴のある方では、検査を実施できないことがあります。
心エコー図検査は、心臓の構造や動きをリアルタイムで可視化できる唯一の検査であり、診断から治療効果の判定に至るまで、循環器診療において欠かせない検査です。

下肢血管狭窄や閉塞の程度を評価する指標です。通常は寝た状態で両腕、両足首の血圧を同時に測定すると、足首の方がやや高い値になります。
ところが血管が詰まり気味になると、その部分の血圧は低くなり、足首の血圧と腕の血圧の比を求めれば血管の詰まり具合を知ることができます。
下肢閉塞性動脈硬化症といった、下肢血管の動脈硬化疾患が対象となります。ABIの検査は一般の血圧測定と似た検査で、検査時間も5分ぐらいで終了します。
正常値は1.0〜1.3で、0.9以下は虚血あり、0.4以下は重症虚血と判断されます。

SPP検査は、レーザーを使って足の皮膚表面の血流を測る検査です。
特に下肢閉塞性動脈硬化症(ASO)など、足の血管の血流が悪くなる病気の診断に役立ちます。
特徴とメリット
この検査の適応
測定結果の目安
![]()

CTとはコンピュータ断層診断装置(Computed Tomography:CT)を使用した検査の事で、X線を使って身体の断面を撮影する検査です。
当院では現在320列マルチスライスCT機2台が稼働しています(東芝メディカルシステムズ社:Aquilion ONE Vision Edition, キャノンメディカルシステムズ社: Aquilion ONE/PRISM Edition)。
従来型のCT機と比較しより短時間で、高精細な画像を撮像することが可能です。心臓のような動く臓器の場合でも超高速に撮影しているため、ゆがみやひずみが生じません。被ばく量も64列式と比較し約20%低減することができます。
大動脈CT検査は、胸部・腹部を走行する大動脈の病変を正確に評価するための画像診断です。造影剤を使用したCT撮影により、大動脈瘤や大動脈解離の有無、形態、位置、破裂の兆候、分枝血管の状態などを詳細に把握することができます。特に急性大動脈解離の診断には不可欠であり、救急外来では迅速な撮影・読影が求められます。
当院では320列の高性能マルチスライスCT機2台が稼働しています(東芝メディカルシステムズ社:Aquilion ONE Vision Edition, キャノンメディカルシステムズ社: Aquilion ONE/PRISM Edition)。心電図同期撮影によるアーチファクトの低減や、3D再構成による立体的な血管評価も可能です。
これにより、外科的治療や血管内治療の術前計画にも活用され、安全で精度の高い医療提供に貢献しています。心臓のような動く臓器の場合でも超高速に撮影しているため、ゆがみやひずみが生じません。被ばく量も64列CT機と比較し約20%低減することができます。
また、大動脈疾患の長期管理においてもCT検査は重要であり、術後のステントグラフトのフォローアップや、瘤の増大評価にも定期的に用いられています。腎機能低下の患者様にも、最小限の造影剤使用量で撮影できるプロトコルを整備し、安全に配慮した検査を実施しています。


急性大動脈解離:下行大動脈に解離所見を認めます。
大動脈弁狭窄症:TAVI術前に必要な大動脈弁の形態の評価を行っています。
特に狭心症の診断に有用な検査となります。心臓カテーテル検査と異なり低侵襲で重篤な合併症も少ないとされており、外来での検査が可能です。0.35秒で16cmの範囲が撮影でき、心臓や脳全体では一度で撮影が可能です。数秒で撮像が終わりますので息止めが困難な患者さんにも検査が可能です。冠動脈バイパス手術後やステント留置後の遠隔期の評価にも用いています。その他、心奇形などの心臓の構造的疾患の評価やカテーテルアブレーション治療前の心臓の形態評価にも用いています。
FFR-CT
FFR-CT(エフエフアール・シーティー)解析は、従来の冠動脈CTで狭窄(血管が狭くなった状態)の有無を見つけることに加え、その狭窄が実際に血流低下に関与しているかどうかを一度の検査で評価できる、最新の非侵襲的検査技術です。
冠動脈CT画像で狭窄が見つかった場所において、最大充血状態(血管が最も拡張した状態)の血流低下度を測定することができます。既に撮影された冠動脈CT画像を基に、コンピュータ上で3次元の血管モデルを作成し、数値流体力学に基づく血流シミュレーションを行うことで解析を行います。
本来、血流低下度の評価に必要な運動負荷検査、心臓核医学検査あるいは入院精査が必要な侵襲的カテーテル検査などの方法に代わる診断ツールとして、高い診断的価値を発揮する可能性があります。新たな被ばくなど身体的危険性がなく検査を行うことが可能であり、担当医師が患者さんに対してどのような治療を行うのが最適かについて方針決定を行う際などに役立ちます。
図に示されるように、解析結果では血流低下が認められる部位が赤く表示され、視覚的にも非常に分かりやすく、患者さん自身が治療の必要性を理解する手助けにもなります。この検査は、HeartFlow社(米国)への画像データ送信によって解析され、結果が得られるまでには通常3〜4時間程度を要します。データ送信に際しては、患者さんの個人情報保護を徹底したうえで同意書を取得しております。適応には一定の条件がありますので、検査をご希望の際は主治医へご相談ください。
肺動脈CTは、造影剤を使用して肺の血管(肺動脈)の状態を詳しく確認する検査です。
特に、肺血栓塞栓症などの血栓性疾患の診断に用いられ、循環器疾患の評価において非常に重要な役割を果たします。
肺血栓塞栓症を疑うような症状や肺動脈CT検査の適応
検査に伴うリスク
※肺塞栓の画像(赤矢印 肺動脈血栓)急性肺血栓塞栓症:右肺門部に血栓塞栓像を認めます。
心臓核医学(RI)検査とは放射性医薬品(RI:ラジオアイソトープ)の意味で、体内に投与すると目的の臓器に集積します。その後、専用の装置で体外から撮影し、分布や集積の程度を評価するのが心臓核医学(RI)検査です。
循環器領域では狭心症などの虚血性心疾患に対する心筋シンチグラフィが代表的な検査で、負荷(運動負荷または薬物負荷)を行うことで心臓の筋肉への血流が正常なのか、虚血(血流が乏しい)なのか、梗塞(壊死)なのかを判別することができます。カテーテル検査と比較して、血管を見るのではなく心筋に対する血流量の評価が行える(機能的評価)ため、診断に加えてリスク評価や治療適応などの判定が可能です。
また造影剤を使用しないため、腎機能が低下している方や造影剤アレルギーのある方へは特に有用な検査になります。
その他、虚血性心疾患の他にアミロイドーシスやサルコイドーシスなどの心筋症、肺血栓塞栓症の診断や重症度判定にも用いられます。悪性腫瘍、腎臓領域など他診療科においても重要な検査です。
外来でも行うことが可能で、非観血的検査となるため、カテーテル検査と比較して安全性は高いです。

心筋シンチグラフィ検査 (左図:SPECT、右図:Polar map)
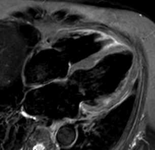
心臓MRIは、強力な磁石と磁気の力を使って心臓や血管を撮影する検査です。放射線被曝がないため、繰り返し検査を受けることができます。
また、⾝体の輪切り(横断像)だけでなく、あらゆる⾓度の断⾯像を得ることができ、⼼臓の機能や形態、冠動脈、⼼筋組織性状、⼼臓や⾎管などを総合的に評価できる有⽤な検査です。
当院では、高画質MRI装置(PHILIPS Ingenia Elition 3.0T)を使用しており、検査中の不安やストレスをできる限り軽減できるよう努めています。
【注意事項】
心臓ペースメーカーや金属製人工弁、刺激電極などを体内に留置されている方は、MRI検査を受けられない場合があります。検査をご希望の場合は、事前にご相談ください。


T2強調画像
心臓内の血流信号を抑制し、左室内腔の血液信号を低信号とすることで、心臓の構造を評価することができます。心筋の浮腫や炎症性変化を捉えることができ、急性~亜急性期心筋梗塞や心サルコイドーシスの活動性病変部の検出に有用とされています。
心筋遅延造影MRI検査
心筋遅延造影MRI検査はガドリニウム造影剤を用いることで、心臓の筋肉の様子を詳細に観察することが可能です。心筋梗塞や心筋症などで心筋が傷害を受けると、その部位の心筋細胞が壊れて、ガドリニウム造影剤が通常は染み込んで行かないはずの心筋に染み込んで行きます。その造影心筋の進達度により、心筋の組織性状や心筋の生存性(バイアビリティ)の指標としても利用され、現在原因不明の心不全症例の精査や心筋梗塞後の評価に用います。

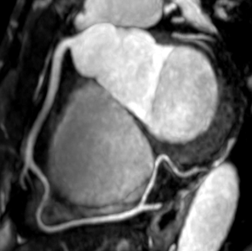
冠動脈MRA
冠動脈MRAは放射線被ばくや造影剤を使用することなく、心臓の血管(冠動脈)を明瞭に描出することができる検査方法です。冠動脈MRAは、高度石灰化症例でも動脈内腔の描出が可能であり、血管の走行異常の確認や血管が動脈硬化によって細くなっている状態を立体(3D)画像を作成して診断を行います。放射線や造影剤を用いることなく診断が可能なため、患者様のお身体のご負担が少なく、なおかつ心臓の病気の早期診断、早期治療に役立てられます。
※下肢MRI画像
心臓およびその近くにカテーテルという医療用の細く柔らかい管を進めて行う検査の総称です。心臓内の各部屋の圧力や心拍出量(心臓のポンプとしての力)を測定したり、弁膜症の程度を判定したり、冠動脈(心臓を栄養する血管)の動脈硬化による狭窄の程度を観察したりすることができます。特に狭心症の方には、動脈硬化性病変の有無や狭窄度を評価し、治療方針を決定する重要な検査になります。
また、見た目の狭窄度だけでなく、実際にどれくらい血流が阻害されているかを評価することで治療方針にも影響します。機能的虚血評価法といってFFR(心筋血流予備量比)やiFR(瞬時血流予備量比)、QFR(定量的血流量比)といった測定法があります。 通常は前日の午後に入院し、検査翌日午前中に退院していただきますので、2泊3日の入院となります。
また、患者さんの年齢や状態・検査の内容によっては、検査当日午前中の早い時間に来院していただき、当日の夕方に帰宅する日帰りカテーテル検査も可能です。検査当日は、検査着に着替えていただきカテーテル検査室で検査を行います。検査時間は20分前後で、検査後の圧迫止血に約3~4時間を予定しております。右手首のあたりに局所麻酔を行い、そこから太さ1.7mmのカテーテルを血管の中に通して心臓の冠動脈や心臓内まで誘導していきます。
そして、造影剤を冠動脈や心臓の中に流し込んで撮影(動画)を行います。可能であれば、検査後に手首の圧迫止血を行っている間にご家族と一緒に動画を見ていただきながら結果を説明します。当院では年間約2,500例、1日平均10例の方に心臓カテーテル検査を行っております。

(Abbott社HPより引用)
電気生理学検査は、不整脈の原因を詳しく調べるために行う検査です。心臓に専用のカテーテル(細い管)を血管から挿入し、心臓内部の電気信号を直接記録したり、人工的に心拍を刺激したりして、どのように異常なリズムが発生するかを調べます。
この検査により、

